
Behandelingen voor en na
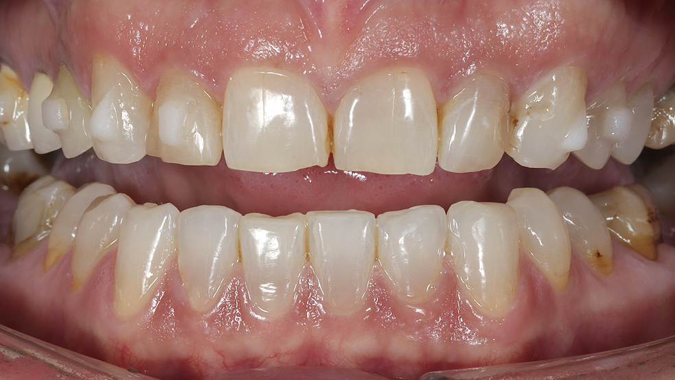
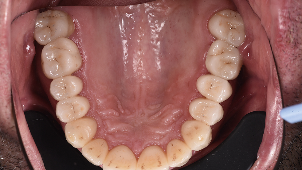
Behandelcases
Behandelcases
Het Oral Design Center Holland is een tandtechnisch laboratorium dat zich gespecialiseerd heeft in esthetisch en functioneel kroon- en brugwerk. Daarnaast doet het bedrijf dienst als onafhankelijk nascholingscentrum voor tandartsen en tandtechnici.
Filter op behandeling